俗话说:“病从口入”
在众多影响人类健康的因素中,饮食习惯无疑占据着举足轻重的地位。其中,食管癌作为一种常见的消化道恶性肿瘤,其发生与饮食之间的关系更是密不可分。

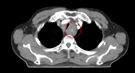
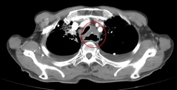
警惕饮食雷区 这些习惯可能是食管癌“元凶” 你中招了吗? 从食管的结构分布来看,主要分为颈部、胸部、腹部 3 段,而食管中的狭窄处因为直径较小,更易与食物发生摩擦,造成一定程度的机械性损伤,长此以往,这些不良饮食习惯容易引发慢性炎症或损伤,成为食管癌的幕后推手。 1、高盐饮食 长期摄入高盐食物可能导致胃酸分泌增多,增加胃黏膜的刺激,从而增加食管癌的风险。 2、腌制食品 腌制食品中含有大量的盐分和亚硝酸盐,这些物质在体内代谢产生亚硝胺类化合物,具有致癌作用。 3、热食烫饮 长期食用过热的食物或饮料可能导致食管黏膜反复烫伤,引起炎症和损伤,增加食管癌的发生风险。 4、缺乏膳食纤维 膳食纤维有助于维持肠道健康,促进肠道蠕动,减少食物在肠道中的停留时间,从而降低食管癌的风险。 总之,食管黏膜上皮肿瘤的发生是多种因素联合作用、长期慢性刺激的结果。 对于食管癌的高危人群,如年龄超过40岁、有长期吸烟饮酒史、饮食习惯不佳的人群,以及有食管癌家族史的人来说,更应该重视体检和筛查。通过定期的胃镜检查、食管细胞学检查等手段,可以及时发现食管黏膜的异常情况,从而做到早发现、早治疗。 案例分享:面对不可手术的食管癌 根治性放化疗成最后希望 * 病 情 介 绍 * 患者姓名:李先生(化名) 年龄:65岁 性别:男 诊断:食管癌(T4N1M0,ⅢB期) 临床表现: 主诉:吞咽困难,体重下降15公斤。 食管镜检查:食管中段可见肿块,阻塞大部分食管腔。 病理活检:报告为鳞状细胞癌。 CT扫描:食管中段肿块,周围淋巴结明显肿大,无远处转移。 (治疗前) 治疗方案: 鉴于患者的年龄、身体状况以及肿瘤的分期,手术切除风险较高,因此选择采用适型调强放疗(IMRT)配合化疗作为主要治疗手段。 治疗效果: 经过6周的放化疗,复查CT显示肿瘤体积显著减小,食管通畅。 随访: 治疗结束后,患者症状明显缓解,能够自行进食。 (治疗两月后食道明显扩张,进食通畅) 总的来说,对于不可手术的食管癌患者,根治性放化疗能够在最大程度上消灭肿瘤细胞,达到缩小肿瘤、疏通食管的目的,让患者重拾自主进食的能力,这不仅极大地改善了患者的营养状况和生活质量,而且在一定程度上延长了患者的生存期。



