×
就医指南
科室介绍
特色诊疗
就医流程
医保政策
员工版
搜索
首页
医院概况
医院简介
医院环境
专家团队
预约挂号
先进设备
医院动态
媒体聚焦
院内新闻
公益活动
健康百科
视频中心
全国肿瘤专家团
公益活动
联系我们
基本信息填写
您的姓名:
联系电话:
电子邮箱:
问题类型:
内容无法访问
信息不更新
内容不准确
错别字
图片不准确
其他
问题页面网址:
问题描述:
提交
媒体聚焦
院内新闻
公益活动
健康百科
视频中心
医院动态
健康百科
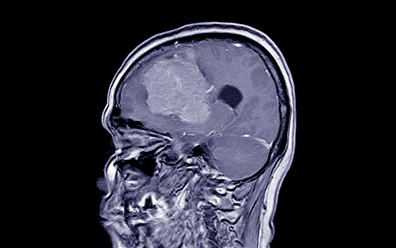
脑膜瘤放射治疗可能是一种有效的治疗方法
时间:2024-01-02
脑膜瘤放射治疗医院,昆明脑膜瘤医院哪家好-昆明医科肿瘤医院脑膜瘤是一种生长在脑膜上的肿瘤,它可能是恶性的也可能是良性的。对于一些较大或难以手术的脑膜瘤,放射治疗可能是一种有效的治疗方法。本文将介绍脑膜瘤放射治疗的原理、过程、风险和预后。脑膜瘤放射治疗的原理脑膜...
脑膜瘤放疗的效果怎么样
时间:2024-01-02
脑膜瘤放疗效果怎么样,昆明脑膜瘤医院哪家好-昆明医科肿瘤医院脑膜瘤是一种起源于脑膜的肿瘤,它的治疗方法包括手术切除、放射治疗、化学治疗或这些治疗的组合。在治疗中,放射治疗通常是主要的治疗方法之一。那么,脑膜瘤放疗的效果如何呢?下面我们就来详细探讨。放疗是一种以...
脑膜瘤的早期症状有哪些
时间:2024-01-02
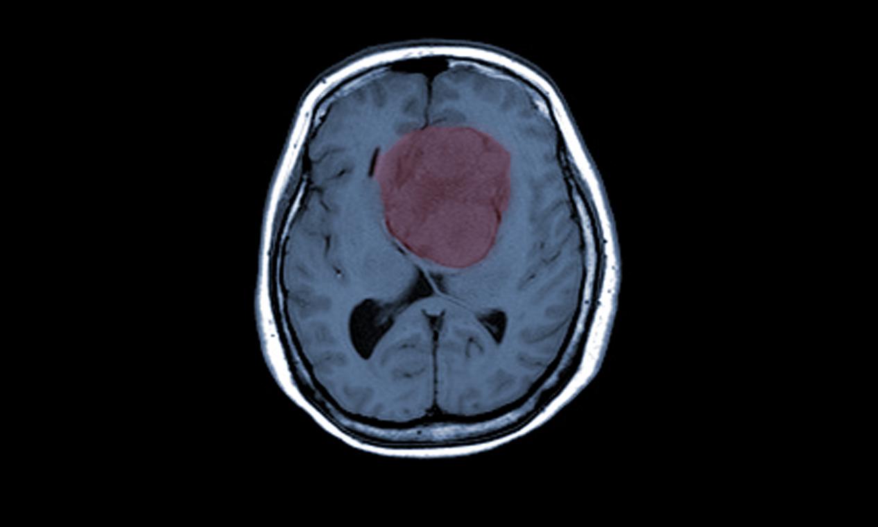
脑膜瘤的早期症状,昆明脑膜瘤医院推荐-昆明医科肿瘤医院脑膜瘤(Meningiomas)是起源于脑膜及脑膜间隙的衍生物,发病率占颅内肿瘤的19.2%,居第2位,女性:男性为2:1,发病高峰年龄在45岁,儿童少见。许多无症状脑膜瘤多为偶然发现。脑膜瘤是一种起源于脑...
脑膜瘤的临床表现和诊断方式有哪些
时间:2024-01-02
脑膜瘤的临床表现,昆明脑膜瘤医院哪家好-昆明医科肿瘤医院脑膜瘤是一种常见的颅内肿瘤,它通常发生在脑膜(覆盖脑部和脊髓的薄膜)上。由于它的位置和生长速度不同,其症状和表现也会因个体差异而有所不同。但是,一些常见的症状和诊断方法可以帮助医生和患者及时发现和治疗脑膜...
脑膜瘤的病因和发病机制是什么
时间:2024-01-02
脑膜瘤的病因是什么,昆明脑膜瘤医院哪家好-昆明医科肿瘤医院脑膜瘤是一种比较常见的神经系统肿瘤,它起源于脑膜细胞,可以发生在颅内和脊髓的任何部位。了解脑膜瘤的病因和发病机制有助于人们更好地预防和治疗这种疾病。一、病因目前尚不清楚脑膜瘤的确切病因,但是已经确定了一...
昆明治疗脑膜瘤的一些常用方法
时间:2024-01-02
昆明脑膜瘤放射治方法,昆明脑膜瘤医院哪家好-昆明医科肿瘤医院脑膜瘤是一种危险的脑部肿瘤,治疗需要综合考虑患者的个体情况和病情,通常需要多种治疗方法的组合应用。以下是昆明治疗脑膜瘤的一些常用方法:手术切除手术切除是治疗脑膜瘤的首选方法。手术可以通过开颅手术或经鼻...
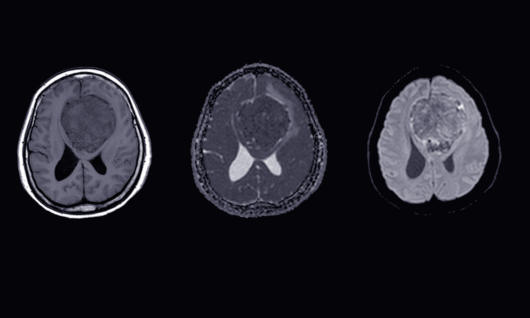
昆明脑膜瘤放射治疗方式有哪些
时间:2024-01-02
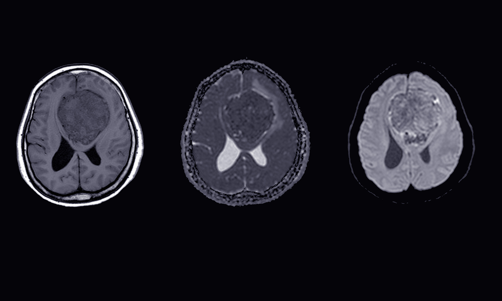
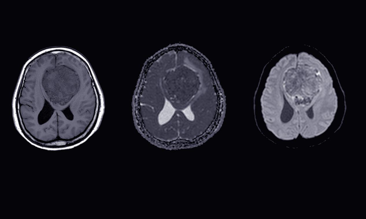
昆明脑膜瘤放射治疗方式,昆明脑膜瘤医院哪家好-昆明医科肿瘤医院脑膜瘤(Meningiomas)是起源于脑膜及脑膜间隙的衍生物,发病率占颅内肿瘤的19.2%,居第2位,女性:男性为2:1,发病高峰年龄在45岁,儿童少见。许多无症状脑膜瘤多为偶然发现。脑膜瘤是指发...
放射治疗是一种脑膜瘤常用的治疗方法
时间:2024-01-02
脑膜瘤放射治疗医院,昆明脑膜瘤医院哪家好-昆明医科肿瘤医院脑膜瘤是一种发生在脑膜(脑部外层覆盖的薄膜)上的肿瘤。它通常是良性的,但在某些情况下也可能是恶性的。脑膜瘤的治疗通常需要一个综合治疗方案,其中包括手术切除、放射治疗和化疗。放射治疗是一种常用的治疗方法,...
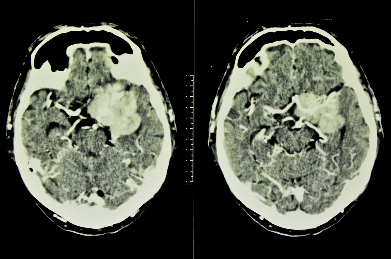
放射治疗如何对脑膜瘤进行治疗好不好
时间:2024-01-02
脑膜瘤放射治疗技术,昆明脑膜瘤医院哪家好-昆明医科肿瘤医院脑膜瘤是一种起源于脑膜的肿瘤,它可能会对患者的生命和健康造成重大威胁。对于一些脑膜瘤患者,放射治疗可能是一种有效的治疗方法。在本文中,我们将讨论放射治疗如何对脑膜瘤进行治疗,以及患者需要了解的相关信息。...
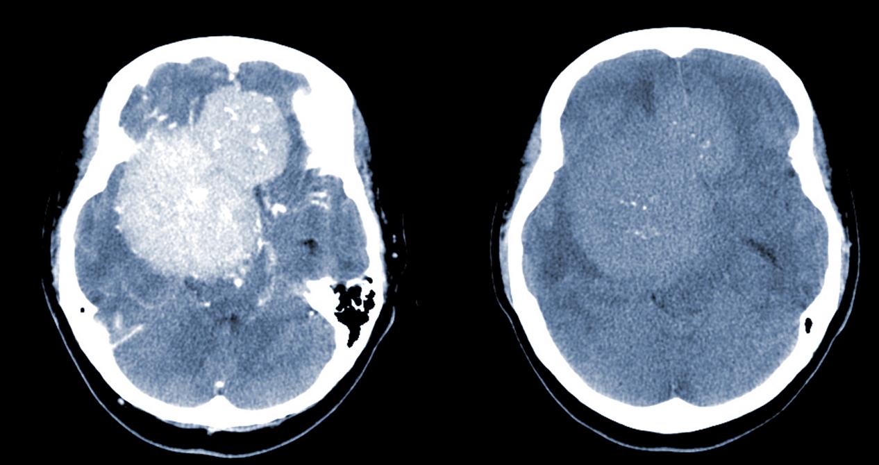
放射治疗对脑膜瘤的治疗效果是非常显著的
时间:2024-01-02
脑膜瘤放射治疗效果,昆明脑膜瘤医院哪家好-昆明医科肿瘤医院脑膜瘤是一种比较常见的颅内肿瘤,通常生长缓慢,但如果不及时治疗,可能会对患者的生命和健康造成严重威胁。目前,放射治疗被广泛应用于脑膜瘤的治疗中,已经成为治疗脑膜瘤的重要手段之一。放射治疗通过高能量的放射...
脑胶质瘤放射治疗效果好不好
时间:2023-12-29
脑胶质瘤放射治疗效果,昆明脑胶质瘤医院哪家好-昆明医科肿瘤医院脑胶质瘤是一种恶性的脑部肿瘤,通常需要进行综合治疗,其中放射治疗是一种重要的治疗手段。本文将介绍脑胶质瘤放射治疗的基本原理、应用情况、不良反应及注意事项等方面。一、放射治疗的原理脑胶质瘤放射治疗是利...
什么是脑胶质瘤,脑胶质瘤的症状有哪些
时间:2023-12-28
脑胶质瘤早期症状,昆明脑胶质瘤筛查医院哪家好-昆明医科肿瘤医院脑胶质瘤是指起源于脑胶质细胞的肿瘤。脑胶质细胞是脑部最常见的一种细胞,主要负责支持和保护神经元。然而,当这些细胞发生异常增殖和变异时,就会形成脑胶质瘤。脑胶质瘤可以分为良性和恶性两种类型。良性脑胶质...
34
35
36
37
38
39
40
在线客服
电话咨询
扫一扫
立即预约.jpg
立即预约
返回顶部