是选择手术还是立体定向伽玛刀治疗?
是听神经瘤患者李先生需要面临的两难抉择。为什么难以选择,这要从李先生10年前的治疗经历说起......

头晕呕吐 确诊听神经瘤
术后勇敢面对面瘫挑战
李先生十年前因反复头晕呕吐,在当地医院完善相关检查后诊断为:听神经瘤。由于肿瘤较大,评估患者身体情况后,在医生建议下进行了手术治疗。
术后患者头晕、呕吐症状好转,但由于面神经受到损伤,患者出现右耳听力下降,右侧面部麻木、口角偏向左侧的面瘫症状。

其实在临床上,像李先生这样出现术后面瘫的并发症并不少见,因听神经瘤位置特殊,起源于前庭蜗神经鞘膜,且毗邻复杂的面神经结构,即使在最富有经验的神经外科大夫手中,也难免造成部分病人神经功能损害,特别是面瘫,有报道高达50%。
出院后,李先生特别注意身体调养,以坚韧的毅力,踏上了面瘫康复的旅程。然而抗癌之路并没有那么顺利,终究还是没逃过肿瘤复发......

十年后,肿瘤再次来袭
伽玛刀立体定向放疗
为复发患者带来新生机
坎坷的抗癌历程让李先生成功度过5年生存期,但是在第十个年头复查时,颅脑MR平扫+增强诊断为:听神经瘤术后复发。
为进一步抗肿瘤治疗,李先生结合自己多年来的求医经历,经多方打听和仔细比较后,选择到我院寻求「全国专家团」专业权威的诊疗建议。

经过北京天坛医院神经外科孙时斌教授、原西部战区总医院肿瘤放疗科主任骆建华教授、原成都中医药大学附属肿瘤医院院长余小平教授以及昆明医科肿瘤医院刘红院长等多位肿瘤专家对李先生病情进行全面评估后,为其量身定制了个性化的治疗方案,完善常规检查后,针对病灶行立体定向伽玛刀治疗,同时加强抗肿瘤、抗感染、营养支持等对症治疗。
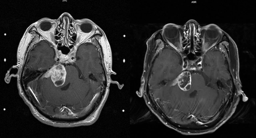
治疗结束后,李先生病情平稳, 精神状态好,肿瘤较入院前明显缩小。

(入院前后MRI)

伽玛刀技术革新
让听神经瘤治疗更安全有效!
随着伽玛刀放射外科技术不断发展,治疗设备和剂量计划软件的持续更新和升级换代,治疗剂量进一步优化,加之影像定位技术的革命性进步,听神经瘤患者接受伽玛刀治疗,有机会避免开颅手术风险又可以控制肿瘤发展,提高肿瘤控制率的同时尽量降低并发症的发生率。

据临床研究相关数据显示,伽玛刀放射外科治疗听神经瘤的长期肿瘤控制率一般为90%─98%,体积越小肿瘤控制率越高。
具体适应证如下:
1、内听道内的和中小体积未压迫脑干、无脑积水症状;
2、老年患者;
3、全身状况影响施行开颅手术;
4、显微外科术后残留或复发的病例。伽玛刀作为立体定向放射治疗的金标准,以其独特的靶点中心剂量大、边缘剂量分布陡峭的技术特点,在听神经瘤治疗中展现出显著优势。它不仅能有效杀灭肿瘤细胞,更能精准控制对周边正常组织的损伤,因此被越来越广泛地应用于神经鞘瘤的治疗。