近日,昆明医科肿瘤医院收到一份特殊的礼物,15岁的李建国(化名)出院后在妈妈的带领下特意送来一封包含深情的感谢信,一字一句都表达着她对科室医护团队医德、医风、医术的肯定和赞扬。
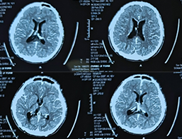
青春勃发的帅气少年嗜睡多日 不幸查出恶性脑瘤 6个月前,正在读初中的李建国(化名)因嗜睡,言语不清等症状不得以中断学业,去医院全面检查后确诊为松果体恶性肿瘤,并随即进行了脑瘤切除手术,术后需要进一步辅助放疗才能清除颅内肿瘤难以切除的残存病变。 经过多方打听,他父母了解到昆明医科肿瘤医院余小平主任团队及骆建华主任团队在颅内恶性肿瘤的治疗方面经验丰富,便慕名前来寻求治疗方案。 精准放疗 逆转危机 让生命之花重新绽放 李建国(化名)刚来医院时,全身颤抖,嗜睡情况也不容乐观,通过余主任团队与骆主任团队对病情的全面评估后,决定采用先进的立体定向放疗技术——伽玛刀放射治疗与常规放疗相结合进行治疗,通过第一次伽玛刀治疗后,嗜睡多日的李建国(化名)当日即可下地独自上洗手间,妈妈叫他也可以正常回应了。 自从孩子生病后,他妈妈每日都在煎熬中度过,看着眼前的李建国(化名)就像没生病以前的正常状态,妈妈激动地留下眼泪,拉着余主任、骆主任和医护人员说:“太感谢你们啦,我儿子有今天这个正常状态,多亏了你们悉心照顾和余主任的精湛医术,能找到你们团队,真的是我们家不幸中的万幸......” 通过科学、规范、合理的治疗,李建国(化名)各项身体指标都倾向好转,顺利出院! (治疗前2023年10月影像资料) (治疗后2024年2月复查影像资料 显示肿瘤消失) 字字显真情 句句赞医心 一封感谢信承载着浓浓医患情 出院后,医院医疗服务部经常通过电话或微信关心李建国(化名)的身体状况,并叮嘱他生活中的一些注意事项及复查提醒。 “在治疗过程中,得到了刘院长、骆主任、余主任、主管医生的悉心照顾,耐心的为我们讲解病情,医务人员热情周到的服务,还为我过了生日。即便出院了,还经常关心我的病情,让我们一家都非常感动。”李建国(化名)回院复查时,在妈妈的陪伴下写了这封真挚的感谢信。 “想患者所想 急患者所急” 无论我们以何种方式相遇 请相信 我们会在点点滴滴间 汇聚成浓浓的医患情 也请相信 昆明医科肿瘤医院全体医务人员 将以更加饱满的热情 精湛的医术 为患者带去更高质量的诊疗服务





