×
就医指南
科室介绍
特色诊疗
就医流程
医保政策
员工版
搜索
首页
医院概况
医院简介
医院环境
专家团队
预约挂号
先进设备
医院动态
媒体聚焦
院内新闻
公益活动
健康百科
视频中心
全国肿瘤专家团
公益活动
联系我们
基本信息填写
您的姓名:
联系电话:
电子邮箱:
问题类型:
内容无法访问
信息不更新
内容不准确
错别字
图片不准确
其他
问题页面网址:
问题描述:
提交
媒体聚焦
院内新闻
公益活动
健康百科
视频中心
医院动态
健康百科
结肠癌的预防和筛查:重视健康,降低风险
时间:2023-12-18
结肠癌的筛查医院哪家好,昆明结肠癌的预防方式-昆明医科肿瘤医院摘要:结肠癌是一种常见的恶性肿瘤,但通过预防和早期筛查,可以降低患病风险和提高治疗成功率。本文将介绍结肠癌的预防措施和筛查方法,旨在提高公众对结肠癌的认识,促进早期发现和干预。一、健康生活方式的重要...
结肠癌的遗传和分子机制:揭开肿瘤发展的谜团
时间:2023-12-18
结肠癌治疗医院,昆明结肠癌晚期医院哪家好-昆明医科肿瘤医院摘要:结肠癌是一种复杂的多因素疾病,其发展过程涉及遗传变异和分子机制的复杂调控网络。本文将介绍结肠癌的遗传特征和分子机制,旨在增加对这种疾病的理解,并为治疗和预防提供新的研究方向。一、遗传特征:遗传易感...
结肠癌的概述:预防、诊断和治疗的综合观点
时间:2023-12-18
结肠癌早期症状,昆明结肠癌筛查医院哪家好-昆明医科肿瘤医院摘要:结肠癌是一种常见的恶性肿瘤,对患者的健康和生活质量造成了重大威胁。本文将综合讨论结肠癌的概述,包括其发病原因、早期预防、诊断方法和治疗策略,以提高对结肠癌的认识和管理。一、引言:结肠癌是指起源于结...
结肠癌的并发症和生存率:了解疾病风险和患者预后
时间:2023-12-18
结肠癌晚期治疗方案,昆明结肠癌医院哪家好-昆明医科肿瘤医院摘要:结肠癌是一种常见的恶性肿瘤,其发展过程中可能出现多种并发症,并且患者的生存率与疾病的早期诊断和治疗密切相关。本文将介绍结肠癌常见的并发症,以及生存率的相关因素,以增加对该疾病的认识并提供重要的临床...
一般肿瘤怎么治疗才好
时间:2023-12-15
肿瘤早期症状有哪些,昆明肿瘤医院放射治疗医院-昆明医科肿瘤医院肿瘤是一种基因病,但并非是遗传的;它是指细胞在致瘤因素作用下,基因发生了改变,失去对其生长的正常调控,导致异常增生。可分为良性和恶性肿瘤两大类。前者生长缓慢,与周围组织界限清楚,不发生转移,对人体健...
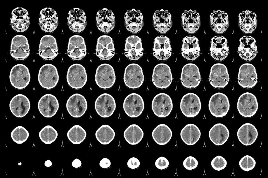
胶质瘤放射治疗是一种常见的治疗方法
时间:2023-12-15
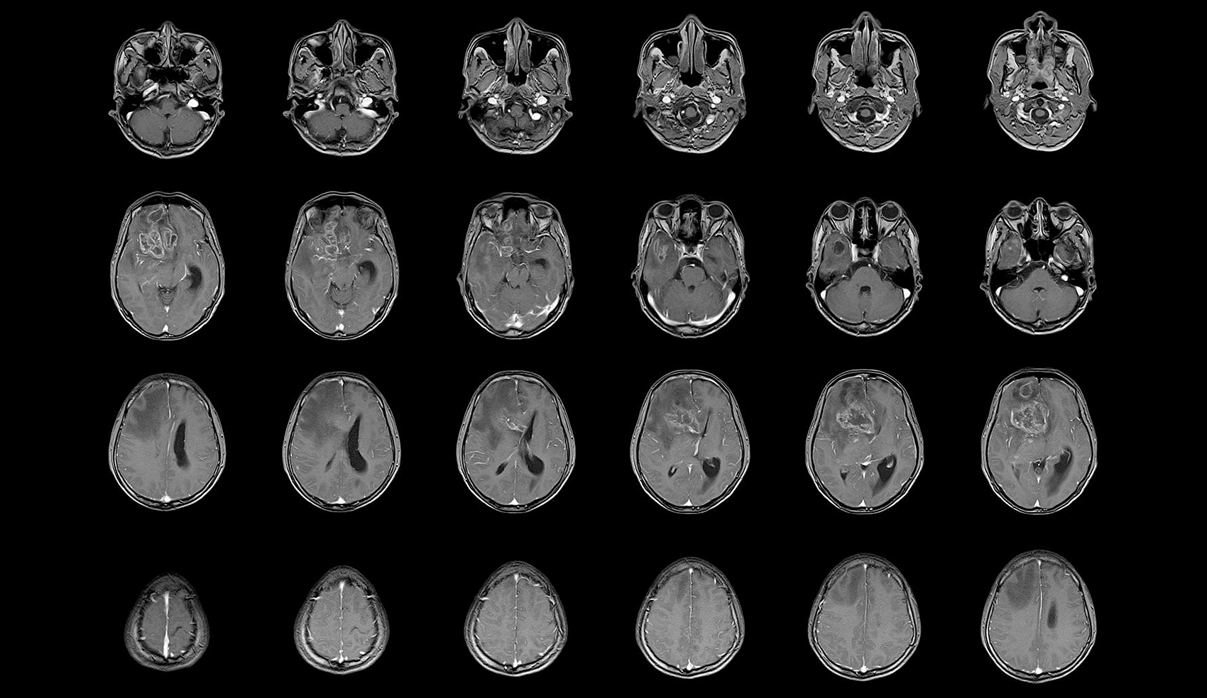
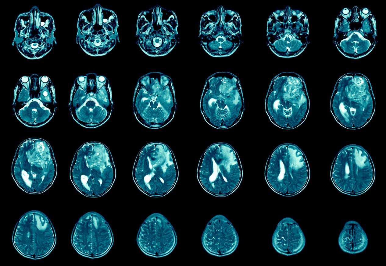
胶质瘤放射治疗技术,昆明治疗晚期胶质瘤医院推荐-昆明医科肿瘤医院胶质瘤是一种严重的脑部恶性肿瘤,它起源于神经胶质细胞,通常发生在大脑的深处。胶质瘤的治疗通常涉及手术、放疗和化疗。在这篇文章中,我们将重点介绍胶质瘤放射治疗的相关知识。放射治疗是一种常见的治疗胶质...
胶质瘤放射治疗的适应症有哪些
时间:2023-12-15
胶质瘤的早期症状,昆明治疗胶质瘤医院哪家好-昆明医科肿瘤医院胶质瘤是一种常见的脑部肿瘤,通常需要采用综合治疗来控制其生长和扩散。放射治疗作为胶质瘤治疗中的重要手段,可以减少肿瘤的大小和数量,从而改善患者的生活质量和延长生存期。本文将介绍胶质瘤放射治疗的基本情况...
胶质瘤放射治疗的基本原理、治疗方法和注意事项
时间:2023-12-15
胶质瘤放射治疗效果,昆明晚期胶质瘤治疗医院推荐-昆明医科肿瘤医院胶质瘤是一种常见的恶性脑肿瘤,常常难以完全切除。放射治疗是治疗胶质瘤的重要手段之一,可以通过辐射杀死肿瘤细胞、抑制肿瘤生长和复发,提高患者的生存率和生存质量。本文将介绍胶质瘤放射治疗的基本原理、治...
胶质瘤放疗相关知识科普
时间:2023-12-15
晚期胶质瘤治疗方案,昆明胶质瘤医院效果好的医院-昆明医科肿瘤医院胶质瘤是一种恶性肿瘤,起源于脑中的胶质细胞,是脑肿瘤中最常见的类型。胶质瘤通常会通过手术切除、放疗和化疗等治疗方法进行治疗。其中,放疗治疗在胶质瘤治疗中扮演着重要的角色,本篇文章将会详细介绍胶质瘤...
胶质瘤的治疗效果到底好不好
时间:2023-12-15
胶质瘤治疗效果如何,昆明胶质瘤医院哪家还不错-昆明医科肿瘤医院放射治疗是胶质瘤治疗的常用方法之一。下面我们来了解一下放射治疗在胶质瘤治疗中的作用。放射治疗是利用高能射线或粒子对癌细胞进行杀伤的一种治疗方法。放射治疗可以直接杀死癌细胞或阻止它们继续生长和扩散。对...
胶质瘤的治疗方式有哪些
时间:2023-12-15
胶质瘤的治疗方式,昆明胶质瘤医院排名推荐-昆明医科肿瘤医院胶质瘤是一种难以治愈的恶性肿瘤,因其高度侵袭性和复发性而难以治疗。目前,治疗胶质瘤的方法主要包括手术切除、放射治疗和化学治疗等综合治疗手段。本文将介绍各种治疗方法的优缺点以及选择治疗方案的考虑因素。手术...
胶质瘤的预后取决于多种因素
时间:2023-12-15
胶质瘤的预后效果,昆明胶质瘤医院哪家好-昆明医科肿瘤医院脑胶质瘤是由于大脑和脊髓胶质细胞癌变所产生的、最常见的原发性颅脑肿瘤。年发病率约为3-8人/10万人口。如同其他肿瘤(疾病)一样,胶质瘤也是由于先天的遗传高危因素和环境的致癌因素相互作用所导致的。一些已知...
43
44
45
46
47
48
49
在线客服
电话咨询
扫一扫
立即预约.jpg
立即预约
返回顶部