×
就医指南
科室介绍
特色诊疗
就医流程
医保政策
员工版
搜索
首页
医院概况
医院简介
医院环境
专家团队
预约挂号
先进设备
医院动态
媒体聚焦
院内新闻
公益活动
健康百科
视频中心
全国肿瘤专家团
公益活动
联系我们
基本信息填写
您的姓名:
联系电话:
电子邮箱:
问题类型:
内容无法访问
信息不更新
内容不准确
错别字
图片不准确
其他
问题页面网址:
问题描述:
提交
媒体聚焦
院内新闻
公益活动
健康百科
视频中心
医院动态
健康百科
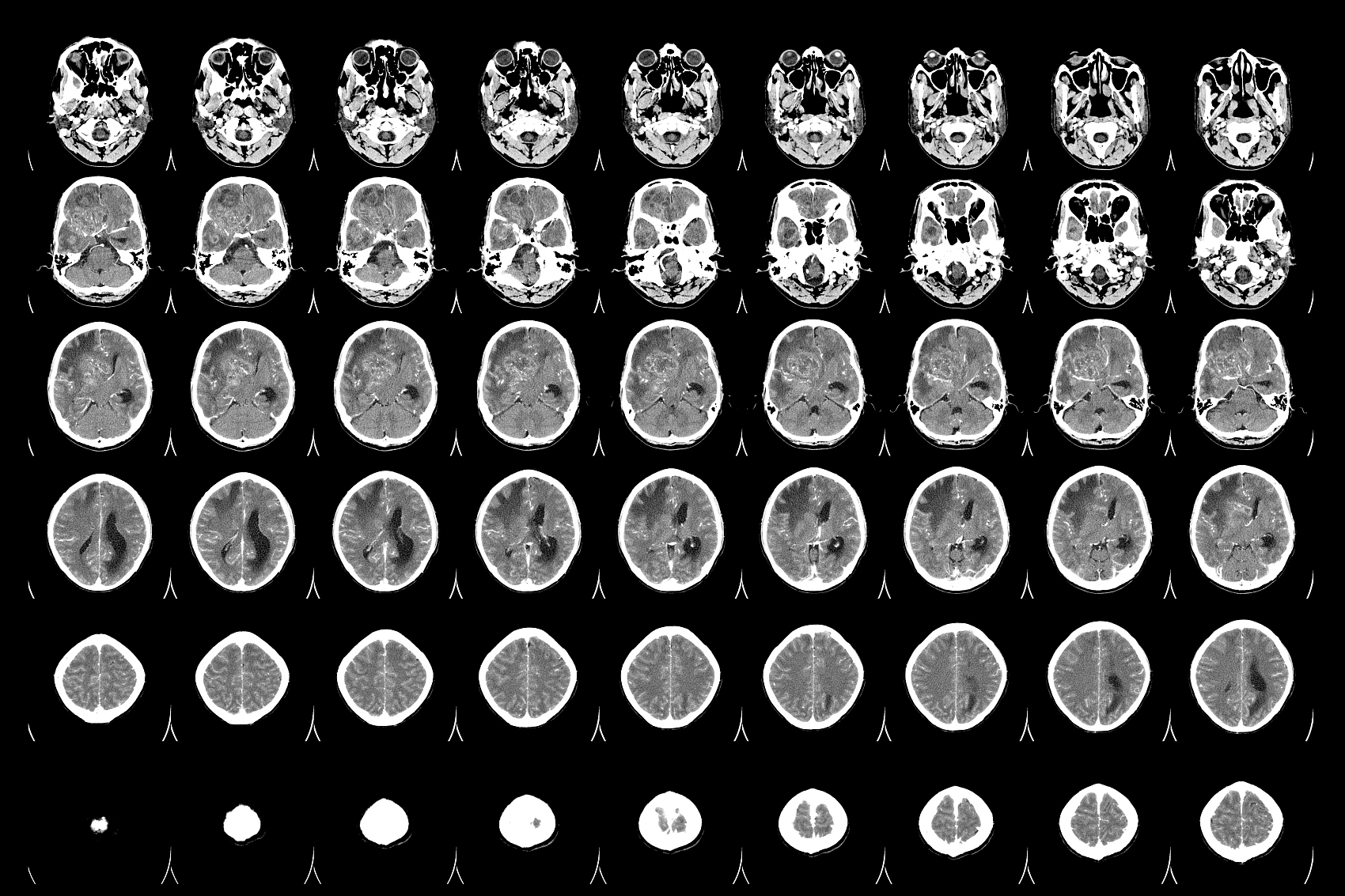
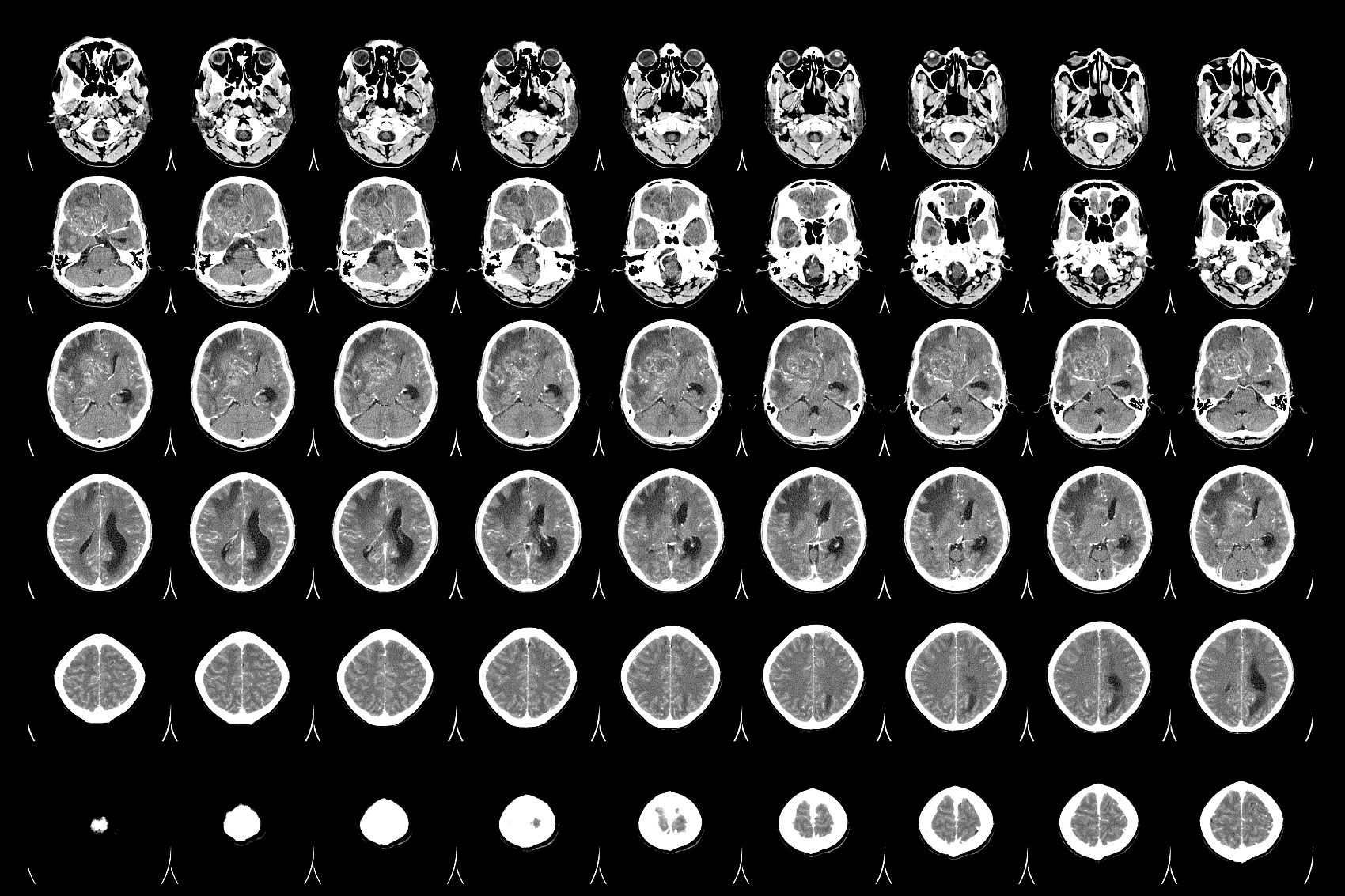
胶质瘤的临床表现在哪些方面
时间:2023-12-15
胶质瘤的临床表现,昆明肿瘤医院如何治疗胶质瘤-昆明医科肿瘤医院胶质瘤是一种常见的原发性脑肿瘤,其临床表现与肿瘤的大小、位置和病理类型有关。本文将介绍胶质瘤的临床表现。头痛头痛是胶质瘤最常见的症状之一,约有50%的患者会出现头痛。头痛通常是间歇性的,而且常常在早...
胶质瘤的含义是什么,什么是胶质瘤
时间:2023-12-15
胶质瘤的症状,昆明治疗胶质瘤去哪家肿瘤医院-昆明医科肿瘤医院胶质瘤是一种常见的神经系统肿瘤,它起源于大脑和脊髓的胶质细胞。这种肿瘤可以是恶性的或良性的,并且可以在任何年龄段发生,但通常在成年人中更常见。本文将讨论胶质瘤的概述,包括其类型、症状和治疗。胶质瘤可以...
胶质放射治疗是一种常见的治疗胶质瘤的方法
时间:2023-12-15
胶质瘤放射治疗医院,昆明晚期肿瘤医院哪家好-昆明医科肿瘤医院胶质放射治疗是一种常见的治疗胶质瘤的方法。本文将详细介绍胶质放射治疗的定义、工作原理、适应症、治疗过程和可能的副作用。定义胶质放射治疗是一种利用高能放射线或其他类型的辐射杀死或控制癌细胞的治疗方法。胶...
放射治疗是治疗胶质瘤的重要手段
时间:2023-12-15
胶质瘤放射治疗医院,昆明胶质瘤医院哪家好一点-昆明医科肿瘤医院胶质瘤是一种由神经胶质细胞分化而成的脑部肿瘤,它通常生长缓慢,但会逐渐占据脑组织,对患者的健康和生命造成严重威胁。治疗胶质瘤的主要手段包括手术、放疗和化疗等,其中放疗是一种非常重要的治疗手段,可以有...
喉瘤患者的康复与生活质量怎么样
时间:2023-12-14
喉瘤晚期患者生活质量如何,昆明喉瘤医院哪家好-昆明医科肿瘤医院喉瘤是一种发生在喉部的肿瘤,对患者的生活和健康产生了重大影响。喉瘤治疗后的康复过程至关重要,旨在帮助患者尽快恢复功能、改善生活质量,并应对与喉瘤相关的挑战。本文将探讨喉瘤患者的康复过程和生活质量的关...
喉瘤和喉癌有区别吗,在那些方面不一样
时间:2023-12-14
喉瘤的早期特征,昆明喉瘤晚期医院哪家好-昆明医科肿瘤医院喉瘤和喉癌是两种不同的疾病,具有不同的性质和特征。下面是喉瘤和喉癌之间的几个区别:良性vs恶性:喉瘤是良性肿瘤,即非癌性肿瘤,通常在喉部的声带、喉软骨或喉黏膜等处形成。喉癌是恶性肿瘤,即癌性肿瘤,起源于喉...
喉瘤放射治疗:一种有效的非手术治疗选择
时间:2023-12-14
喉瘤放射治疗技术,昆明喉瘤晚期医院哪家好-昆明医科肿瘤医院摘要:喉瘤是一种喉部肿瘤,治疗方法包括手术切除、化疗和放疗等。喉瘤放射治疗作为一种非手术的治疗选择,具有独特的优势。本文将探讨喉瘤放射治疗的原理、适应症、治疗效果和潜在的副作用,以及与其他治疗方法的比较...
喉瘤放射治疗:现状、进展和关键问题
时间:2023-12-14
喉瘤放射治疗效果,昆明喉瘤医院哪家好-昆明医科肿瘤医院摘要:喉瘤是一种常见的喉部肿瘤,喉瘤放射治疗作为非手术治疗的重要手段,对于喉部肿瘤的管理起着关键作用。本文综述了喉瘤放射治疗的现状、技术进展和关键问题。我们回顾了传统放疗技术的应用,介绍了新兴的放疗技术,如...
喉瘤放射治疗:技术创新与临床应用
时间:2023-12-14
喉瘤放射治疗医院,昆明喉瘤医院哪家好-昆明医科肿瘤医院摘要:喉瘤是一种常见的喉部肿瘤,喉瘤放射治疗作为一种非手术的治疗选择,正在不断取得技术创新和临床应用的进展。本文综述了喉瘤放射治疗的最新技术创新,包括调强放疗、碳离子治疗和免疫调节放射治疗等。同时,探讨了这...
喉瘤放射治疗:个体化护理的关键因素
时间:2023-12-14
喉瘤放射治疗医院,昆明喉瘤医院哪家好-昆明医科肿瘤医院摘要:喉瘤放射治疗是喉部肿瘤管理的重要手段之一。本文探讨了喉瘤放射治疗中个体化护理的关键因素。通过综合分析患者的特点、疾病进展、治疗计划和副作用管理,个体化护理可以最大限度地提高治疗效果、减轻副作用,并改善...
喉瘤的症状和诊断方式有哪些
时间:2023-12-14
喉瘤的诊断方式,昆明喉瘤晚期医院哪家好-昆明医科肿瘤医院喉瘤是指发生在喉部的肿瘤,可以是良性的或恶性的。了解喉瘤的常见症状和正确的诊断方法对及早发现和治疗喉瘤非常重要。本文将探讨喉瘤的常见症状和常用的诊断方法。症状:喉瘤的症状可以因肿瘤的性质、大小和位置而异,...
喉瘤的预防和早期筛查有哪些方面
时间:2023-12-14
喉瘤的预防方式,昆明喉瘤医院哪家好-昆明医科肿瘤医院喉瘤是一种在喉部形成的肿瘤,对患者的健康和生活产生了重大影响。尽管喉瘤的发病机制尚未完全明确,但采取一些预防措施和进行早期筛查可以帮助降低喉瘤的风险,并有助于早期发现和治疗。本文将探讨喉瘤的预防方法和常用的早...
44
45
46
47
48
49
50
在线客服
电话咨询
扫一扫
立即预约.jpg
立即预约
返回顶部